- أخبار
- وطنية
- 2022/05/25 09:20
"جدري القردة": الدكتور الغزال يدعو إلى اليقظة واتخاذ جملة من التدابير

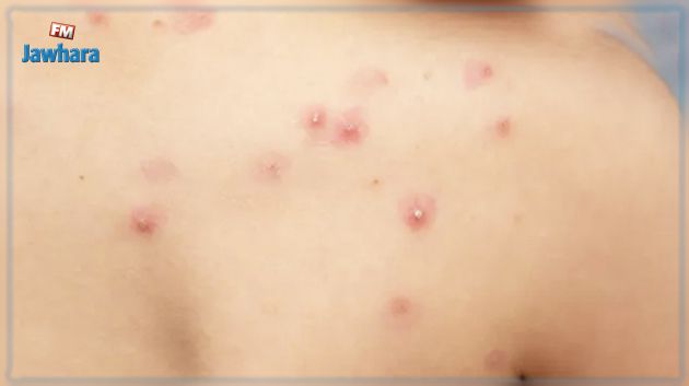
قال الدكتور حاتم الغزال، المختص في علم الأجّنة، إنه مع تواصل إرتفاع عدد الحالات المكتشفة يوميا من مرض "جدري القردة" بدأت الدول تستعد لمواجهته بتطبيق توصيات صادرة عن المراكز العلمية المتخصصة.
وأضاف في تدوينة نشرها على صفحته بالفايسبوك، أن من بين هذه التوصيات ، "وجوب توفّر تحليلPCR للتشخيص السريع للحالات التي يشك الأطباء في كونها حالات جدري القردة، و عزل الحالات المشكوك فيها إلى حين ظهور نتيجة الPCR، مع توفير كميات كافية من التلقيح لأعوان الصحة الذين يعملون في الأقسام التي تستقبل هذه الحالات والإسراع بتلقيح المخالطين للحالات التي يتأكد أنها مصابة من دون الحاجة إلى عزلهم، إضافة إلى توعية العمال في الفنادق و خاصة الذين يقومون بتنظيف الغرف بضرورة لبس القفازات أثناء عملهم و تعقيم أيديهم عند مغادرة كل غرفة".
وتابع الغزال :"من الصعب اليوم توقّع تطوّر هذا المرض و لكنه في الأغلب سيصبح من الأمراض المستجدّة المنتشرة في كل دول العالم دون أن يتحوّل إلى وباء حقيقي و بالتالي لا يمكن لا تجاهله و لا التعامل معه مثل وباء الكورونا فلا حاجة حاليا لا لحملات تلقيح واسعة النطاق و لا لفرض تضييق على الحريات و إنما يجب علينا فقط اليقظة للتفطن إلى كل حالة مسترابة".

الرجوع وتابع الغزال :"من الصعب اليوم توقّع تطوّر هذا المرض و لكنه في الأغلب سيصبح من الأمراض المستجدّة المنتشرة في كل دول العالم دون أن يتحوّل إلى وباء حقيقي و بالتالي لا يمكن لا تجاهله و لا التعامل معه مثل وباء الكورونا فلا حاجة حاليا لا لحملات تلقيح واسعة النطاق و لا لفرض تضييق على الحريات و إنما يجب علينا فقط اليقظة للتفطن إلى كل حالة مسترابة".



















